
Dental Crowns
Tooth pain, swollen gums, and dental sensitivity to hot and cold temperatures can be signs of a structurally compromised tooth.
Dr. David Casagrande is here to help. His office provides the highest-quality dental crowns to restore and even replace natural teeth.
We invite you to explore the benefits of dental crowns provided by our Billings, MT, practice...
Treatment Cost
The cost of dental crowns can vary based on the materials used and other factors, but the typical cost is between $1,600 and $2,000. Of course, that figure doesn't necessarily reflect what you will be paying out of pocket. Our Billings office accepts most major dental insurances. We also offer flexible financing plans through CareCredit® and LendingClub®, which can break up your remaining out-of-pocket expenses into affordable monthly payments.
"Hard to tell if it's a tooth or a crown." Dr. Casagrade Discusses Custom Crown Options
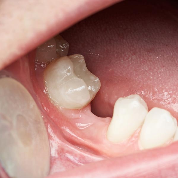
Our Billings office offers dental crowns made entirely or porcelain, porcelain fused to metal, and gold.
Our dentist's goal is to provide permanent crowns that are durable and provide many years of benefits. Our crowns can be crafted to look just like natural teeth.
5 Stars!
"A very professional doctor and staff. They have a deep concern and care for their patients. I would recommend to anyone."
John
Don't Wait! Get Started on Treatment Today
Dr. Casagrande has been helping patients maintain and improve their oral health since 1982. Dr. Casagrande specializes in the field of prosthodontics. This distinction required undergoing years of direct training in tooth rehabilitation and dental prosthetics.
He uses this knowledge to provide patients with superior restorative dentistry and healthy, functional smiles. If you suspect you have tooth damage, do not wait for the problem to get worse. Get help from a trusted dental professional today.
You can schedule an appointment at our office in Billings, MT, today by calling:
(406) 656-2000

Crowns Can Replace Missing Teeth? Yes! Thanks To Dental Implants
While traditional dental crowns are designed to preserve your natural teeth, modern implant-supported crowns can actually replace a single lost tooth from the roots to the chewing surface. Dental implants are small titanium devices that are surgically placed in the jaw to replace lost tooth roots. Just like real tooth roots, they provide stimulation that helps retain bone tissue in the jaw. Once the implant has completely integrated with the bone tissue, your dentist will attach a custom-made dental crown that looks and feels just like a natural tooth.

Replacing a Single Missing Tooth With an Implant-Supported Crown
A dental implant paired with a dental crown can replace a single missing tooth. Your dentist can use this treatment to restore your oral function and allow you to eat and speak properly once more. Because a dental implant replaces the missing tooth roots, it also provides stimulation to the jaw to prevent jawbone atrophy.
How Crowns Are Placed
Post-Appointment
There is generally no downtime involved in receiving a dental crown. Most patients return to their normal schedule immediately after their appointment. If you have questions or concerns at any time, do not hesitate to contact our office, and we will be happy to assist.
"I was never really satisfied with my dental choices. I have had to compromise for too many years. Then I met Dr. David Casagrande. He is an artist. I am so happy with the work he did, that I am proud to smile again."
Dino M.
Don't Risk Your Oral Health Call our Billings dental practice today
A damaged or decayed tooth can be a risk to your oral health, potentially causing further damage and infection to other parts of your mouth. Our Billings dentist can preserve your oral health, strengthen the tooth structure, and help prevent further issues from developing. Our porcelain dental crowns are hand-finished in a trusted lab to blend seamlessly with your smile and look just like a natural tooth.
Whether you need a root canal or a dental implant-supported crown to restore your oral health, function, and appearance, Dr. Casagrande provides a range of dental treatments to fit your needs. Don't risk further oral health complications. Contact us online or call us to request a consultation today.
(406) 656-2000
A Closer Look At Crown Placement
Does Treatment Hurt?
Contrary to common misconceptions, getting a crown is relatively pain-free. Your dentist will administer local anesthesia before starting the procedure to minimize any discomfort. However, we understand that some people experience higher levels of sensitivity and anxiety when it comes to dental work. To ensure that every patient feels comfortable, we offer several sedation options to help you achieve deep relaxation during your procedure. If you would like to learn more, please schedule a consultation at our Billings office to speak to a dentist today. We want you to feel comfortable while we treat your teeth, and are willing to make the necessary accommodations.
How Long Does a Dental Crown Last?
With proper care and maintenance, a dental crown can last about 10 to 15 years. The porcelain will wear over time and eventually need to be replaced, but here are some tips to maintain your dental crown for years to come:
Maintain Oral Hygiene
Maintain proper oral hygiene by brushing with a soft-bristled brush for at least two minutes twice a day. Floss after you brush to be sure all debris is removed from the tooth surface.
Visit Your Dentist Regularly
Regular visits with your dentist for an exam and cleaning can help you maintain optimal oral health and prevent issues from becoming worse.
Be Mindful of Sticky/Hard Foods
Sticky foods like caramel can pull at the crown and cause it to become dislodged from the tooth structure. Likewise, hard foods like ice, hard candies, or even hard vegetables can damage the crown. Be mindful when enjoying these foods, and try to chew or bite on the other side of your smile to protect the dental crown.
Have more questions? We invite you to contact our Billings dental practice today!
Hear From Another Happy Billings Patient
"Dr. Casagrande and his staff always go above and beyond to provide me with quality dental care. I have had a great overall experience with Dr. Casagrande as my dentist these past 5 years."
Amberlee B







