Dental Crowns in Billings, MT
Premium Crowns
Without the Premium Price
- Board-certified prosthodontist
- Advanced digital planning
- Quality at any price point

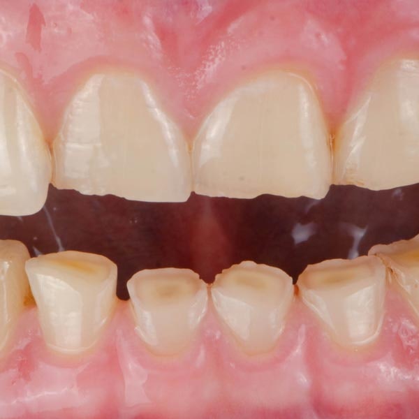
"Hard to tell if it's a tooth or a crown."
Dr. Casagrade Discusses Custom Crown Options
Our prosthodontist offers dental crowns made entirely of porcelain, porcelain fused to metal, and gold. He also offers dental implants in Billings, MT, the gold-standard tooth replacement option.
Our dentist's goal is to provide permanent crowns that are durable and provide many years of benefits. Plus, our crowns are expertly crafted to look just like natural teeth.

We Specialize in Implant-Supported Crowns
While traditional dental crowns are designed to preserve natural teeth, implant-supported crowns can replace a single missing tooth from root to chewing surface. As a board-certified prosthodontist, Dr. David Casagrande plans and performs guided implant surgery and then personally designs the crown that attaches to your implant, so your new tooth looks natural, feels stable, and protects your jawbone health. Very few dentists in the Billings area have this level of implant and crown expertise in one office.
Billings Patients Trust Dr. Casagrande


Don't Wait! Get Started on Treatment Today
Dr. Casagrande has been helping patients maintain and improve their oral health since 1982. He specializes in the field of prosthodontics, a distinction that required undergoing years of direct training in tooth rehabilitation and dental prosthetics. Our doctor uses this knowledge to provide patients with superior restorative dentistry and healthy, functional smiles.
If you suspect you have tooth damage, or you are missing a tooth, do not wait for the problem to get worse. Get help from a trusted dental professional today.
You can schedule an appointment at our office in Billings, MT, today by calling:
Don't Risk Your Oral Health
Call our Billings prosthodontics practice today.
A damaged or decayed tooth can be a risk to your oral health, potentially causing further damage and infection to other parts of your mouth. Our Billings prosthodontist can preserve your oral health, strengthen the tooth structure, and help prevent further issues from developing. Our porcelain dental crowns are hand-finished in a trusted lab to blend seamlessly with your smile and look just like a natural tooth.
Whether you need a root canal or a dental implant-supported crown to restore your oral health, function, and appearance, Dr. Casagrande provides a range of dental treatments to fit your needs. Don't risk further oral health complications. Contact us online or call us to request a consultation today.

Does Treatment Hurt?
Contrary to common misconceptions, getting a crown is relatively pain-free. Your dentist will administer local anesthesia before starting the procedure to minimize any discomfort. However, we understand that some people experience higher levels of sensitivity and anxiety when it comes to dental work. To ensure that every patient feels comfortable, we offer several sedation options to help you achieve deep relaxation during your procedure. If you would like to learn more, please schedule a consultation at our Billings office to speak to a dentist today. We want you to feel comfortable while we treat your teeth, and are willing to make the necessary accommodations.
How Long Does a Dental Crown Last?
With proper care and maintenance, a dental crown can last about 10 to 15 years. The porcelain will wear over time and eventually need to be replaced, but here are some tips to maintain your dental crown for years to come:

Maintain Oral Hygiene
Maintain proper oral hygiene by brushing with a soft-bristled brush for at least two minutes twice a day. Floss after you brush to be sure all debris is removed from the tooth surface.

Visit Your Dentist Regularly
Regular visits with your dentist for an exam and cleaning can help you maintain optimal oral health and prevent issues from becoming worse.

Be Mindful of Sticky/Hard Foods
Sticky foods like caramel can pull at the crown and cause it to become dislodged from the tooth structure. Likewise, hard foods like ice, hard candies, or even hard vegetables can damage the crown. Be mindful when enjoying these foods, and try to chew or bite on the other side of your smile to protect the dental crown.
Have more questions? We invite you to call our Billings dental practice today!
Hear From Another Happy Billings Patient
"I was never really satisfied with my dental choices. I have had to compromise for too many years. Then I met Dr. David Casagrande. He is an artist. I am so happy with the work he did, that I am proud to smile again."



















